Neue Wissenschaft
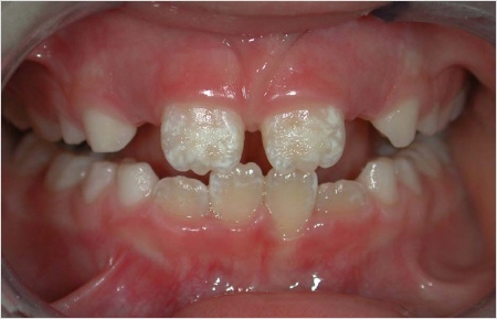
Antibiotika verursacht Schmelzdefekte
Dass Tetracyclin Schmelzdefekte hervorrufen, ist bereits seit Jahrzehnten bekannt. Eine neue finnische Studie zeigt, dass für Kleinkinder, welche in den ersten 3 Lebensjahren Antibiotika eingenommen haben, ein doppelt so hohes Risiko besteht, auf den Front- und den 1. großen Backenzähnen Zahnschmelzdefekte zu entwickeln, wie für Kinder, welche kein Antibiotika eingenommen haben. Kleinkinder, die mit Penicillin oder Makrolide im 1. Lebensjahr oder Amoxicillin bis in das 3. Lebensjahr behandelt wurden, weisen doppelt so viele Schmelzdefekte auf.
Die finnischen Forscher konkludierten, dass akute Mittelohrentzündungen, welche mit gewissen Antibiotika behandelt werden, ein höheres Risiko für Schmelzdefekte aufweisen.
Quelle: Wuollet E, Laisi S, Salmela E et al. Molar-incisor hypomineralization and the association with childhood illnesses and antibiotics in a group of Finnish children. Acta Odontol Scand 2016;74;416-22.
Umsetzung der Webseite sylvia trautmann, www.das-tagewerk.de
